
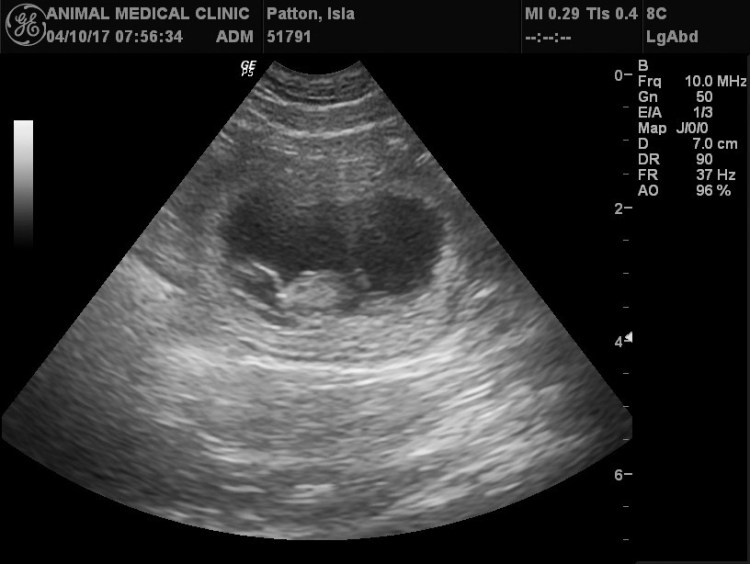
We took Isla in for an ultrasound today, and we saw some rambunctious puppies in her belly! It will be a good sized litter, so we’re starting reservations now. Puppies coming mid-May!
English Cream Golden Retrievers from Northwest Arkansas

We took Isla in for an ultrasound today, and we saw some rambunctious puppies in her belly! It will be a good sized litter, so we’re starting reservations now. Puppies coming mid-May!